微創人工髖關節手術全攻略:傷口小、免復健、重新大步走路
【文章摘要】如果您發現自己走路髖部隱隱作痛、蹲不下去,甚至連穿鞋襪都覺得吃力,這可能是髖關節在發出訊號。以前的人聽到「換關節」就怕傷口大、脫臼,但現在的「微創 」技術就像是在肌肉縫隙中完成關節置換,不需切斷肌肉,且精準度大幅提升,許多病患甚至「術後當天就能下床」。本文將帶您深度了解微創人工髖關節手術。

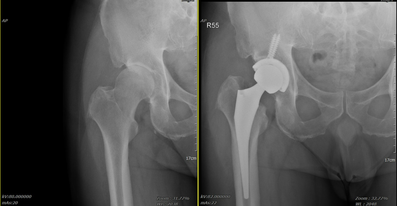
髖關節疼痛的根源:您何時需要考慮置換手術?
髖關節是人體最大的承重球窩關節,由股骨頭與髖臼組成。 當保護關節的軟骨磨損至「骨頭磨骨頭」的程度時,就會導致以下病症,影響日常生活:
常見的適應症
-
退化性髖關節炎:長期磨損導致關節間隙消失。
-
股骨頭缺血性壞死:常與酗酒、長期使用類固醇有關,導致骨組織塌陷。
-
類風濕性關節炎:自體免疫系統攻擊關節滑膜。
-
外傷後關節炎:骨折或嚴重脫位後的後遺症。
何時該從「保守治療」轉向「手術評估」?
那我們何時需考慮髖關節置換手術呢?張建鈞醫師團隊建議,若符合以下情境,應積極進行專業評估:
-
藥物無效:非類固醇消炎藥 (NSAIDs) 已無法緩解疼痛。
-
功能受限:無法順利上樓梯,甚至靜止休息時也會疼痛。
-
生活品質大幅下降:疼痛引發社交退縮或長期失眠。
手術術式深度對比:傳統vs微創
「傳統」髖關節置換手術和「微創」髖關節置換手術的差別在於,「微創」髖關節置換手術的核心在於「組織保存」,也追求皮膚傷口的縮小,讓病患的恢復過程較輕鬆。根據進入關節的路徑,主要分為以下三種範式:
傳統後側開
這是歷史最悠久、視野最清晰的術式。
-
技術限制: 必須切開部分臀大肌並切斷外旋肌群。
-
缺點: 由於破壞了後方的「關節囊」支撐,術後早期發生脫臼的風險較高(約 1-3%),且復健期較長。
前側外開
算是介於正位前開與後開之間的選擇。
-
技術特點: 從大腿外側切開,會干擾到臀中肌(維持行走平衡的重要肌肉)。
-
優點: 術後脫臼率較後開式低。
-
缺點: 若術中對臀中肌損傷較大,術後可能出現暫時性的「趨利登堡步態」(走路搖晃)。
正位前開
目前國際公認恢復最快的微創術式。
-
技術優勢: 利用人體天然的肌肉間隙(闊筋膜張肌與縫匠肌之間)進入,完全不切斷任何肌肉。
-
優點: 術後當天即可負重下床,且因後方組織完整,幾乎沒有姿勢禁忌(術後不需防脫臼枕)。
創新前外側開微創髖關節置換手術
張建鈞醫師創新微創手法,快速復原不用復健。
- 技術優勢: 由前外側切入,完整保留髖關節囊與周圍肌肉組織,在不切斷任何肌肉的前提下完成關節置換,大幅降低組織創傷。
-
優點: 因關節囊與肌肉結構完整保留,患者術後疼痛感顯著降低,恢復速度加快。通常術後 2-3 天 即可出院,助行器使用時間也大幅縮短,術後不用復健,多數患者能提早脫離輔具,迅速回歸日常活動與生活。
選擇手術的核心是「如何讓您輕鬆回歸生活」
如果您和大多數患者一樣,希望 「開完刀後,麻煩越少越好、回到正常生活越快越好」,那麼選擇的關鍵就在於 「手術對身體的破壞有多小」。傳統手術像修一條大路,雖然穩固但工程大,恢復慢、限制多。微創手術的目標就是減少工程破壞。其中,「前側」或「前外側」 入路因為不切斷重要肌肉,已成為了讓患者更輕鬆的選擇。
而張建鈞醫師的 「創新前外側微創髖關節置換手術」,正是在這個理念上的再進化。透過前外側路徑,在完全不切肌肉、完整保留關節囊的情況下完成置換。這帶給患者的直接好處就是:
-
疼痛感更輕:因為組織破壞最少。
-
恢復快速:住院2-3天,很快不需使用助行器。
-
免去復健的奔波:身體結構保留完整,自然活動就是最好的復原。

總結來說,這項創新技術的目標,就是將手術對您生活的影響降到最低。 讓換關節這件事,從一個需要長期抗戰的「大事」,變成一個可以快速解決的「階段性治療」。建議您可以帶著這些比較,與主治醫師討論,根據您的具體情況,一起選擇最適合您、能讓您最無負擔重返生活的手術方式。
實證醫學視角:微創手術的臨床成效
張醫師提供醫學期刊文獻與臨床數據(如 BMC Musculoskeletal Disorders 所載)給大家參考:
| 指標 | 傳統手術 | 新式微創手術 | 臨床意義 |
| 平均出血量 | 500-800 ml | 100-200 ml | 降低輸血風險與心肺壓力 |
| 住院天數 | 7-10 天 | 2-5 天 | 減少臥床併發症,降低醫療成本 |
| 疼痛指數 (VAS) | 較高 | 顯著降低 | 術後能及早開始功能性復健 |
| 脫臼風險 | 2-4% | <1% | 術後不需過度限制姿勢 (如蹲下、翹腳) |
材質的選擇:從健保到自費項目的分析
人工髖關節置換材質比較
| 人工髖臼杯 | 襯墊 | 人工股骨頭 | 手術費用 | 特色 |
髖臼杯 |
塑膠 | 陶瓷 | 6萬元 | 耐磨 |
| Vit E塑膠 | 18萬元 | 耐磨、抗撞 | ||
| 3D列印髖臼杯 | Vit E塑膠 | 陶瓷 | 24萬元 |
耐磨、抗撞 傷口癒合快 80%可以蹲 |
|
防脫臼髖臼杯 (双動式) |
Vit E塑膠 | 陶瓷 | 28萬元 |
耐磨、抗撞 傷口癒合快 可以蹲 |
實證醫學數據:術後功能評估
術後康復進程表
| 時間點 | 康復目標 | 物理治療重點 |
| 術後 0-6 小時 | 意識恢復、床上翻身 | 多模式止痛管理、踝泵運動 |
| 術後 24 小時 | 輔具站立與行走 | 踏步練習、轉位訓練 |
| 術後 2 週 | 傷口癒合、居家步行 | 臀中肌強化、核心穩定練習 |
| 術後 6 週 | 脫離單拐、恢復日常生活 | 步態修正、耐力訓練 |
| 術後 3 個月 | 恢復運動(如游泳、高球) | 本體感覺訓練、多向活動度優化 |
併發症管理與風險預防
雖然微創手術安全性非常高,但我們仍要有嚴謹的醫療態度面對極少數的風險:
-
血栓預防 (DVT):建議術後當天下床。此外,我們會給予抗凝血藥物預防肺栓塞。
-
傷口照護: 採用防水皮下美容縫合,大幅降低細菌侵入路徑。
-
假體周圍骨折: 透過機械手臂精準控制植入力道,可避免術中骨頭碎裂。
微創髖關節置換手術常見問題 FAQ
Q:我應該等痛到不能走才開刀嗎?
醫師回答:不建議。長期忍痛會導致「廢用性肌肉萎縮」與脊椎代償。肌肉一旦萎縮,術後復健期會倍增。建議在軟骨完全消失前進行評估。
Q:微創手術對體重過重(肥胖)的人有效嗎?
醫師回答: 微創髖關節置換手術對肥胖患者難度較高,但經驗豐富的團隊能透過特殊器械完成。事實上,肥胖患者更需微創以降低傷口感染率。
Q:人工關節材質怎麼選?金屬還是陶瓷?
醫師回答: 陶瓷材質是目前的主流,其耐磨性最高且生物相容性極佳。金屬材質則適合活動量較低的高齡者。
Q:術後多久可以開車?
醫師回答: 若是右腿手術,通常需要4-6週讓反應能力恢復;左腿手術且是開自排車,則在術後可嘗試開車。
Q:手術會導致「長短腿」嗎?
醫師回答: 傳統手術確實有此風險。但微創手術配合醫師技術與手術方法,可將差距縮小。不過有時候為了配合患者本身狀況,維持良好的關節鬆緊度,仍需視實際情況調整。
Q:我有心臟病/糖尿病,可以動手術嗎?
醫師回答: 只要術前糖化血色素(HbA1c)控制在7.0以下,且經心臟內科醫師評估血流穩定,可考慮手術。微創手術因其「生理干擾極小」的特性,反而是高風險患者的安全選擇。
Q:術後可以蹲下或上蹲式廁所嗎?
醫師回答: 微創髖關節置換手術患者在術後2週傷口穩定後,即可在輔助下進行深蹲動作,對生活機能影響很小。若使用最新双動式髖關節植入物,大多患者術後可以進行蹲姿。
Q:人工關節需要更換第二次手術嗎(翻修)嗎?
醫師回答: 搭配現代高耐磨材質,大多數人工關節可使用至少20-30年,甚至40年以上。如使用陶瓷材質,使用年限30-40年。除非發生感染或骨質疏鬆導致的鬆動,否則一般人一生只需手術一次。
張建鈞醫師結語:選擇精準,選擇自由
微創髖關節置換手術的演進,代表了醫學從「傳統破壞」向「微創保留」的轉型。這不僅是一項手術,更是一次找回生命自由的機會。當科技能將誤差降至小於1公分,您不需要再為了一道傷口恐懼,更不需要為了疼痛而妥協。
本文僅供衛教參考,具體醫療建議請務必諮詢專業醫師。