微創半膝人工關節置換(UKA)全攻略:精準治療與快速恢復,告別膝蓋退化痛
膝蓋退化並非年長者的專利,青壯年族群若長期受退化性膝關節炎所苦,往往擔心「現在就要換掉整組關節嗎?」事實上,現代醫學已進入精準醫療時代。對於局部磨損的患者,「微創 半膝人工關節置換術(UKA )」 提供了一個保膝、傷口小且能快速恢復行動力的絕佳選擇。

膝蓋退化不必整組換掉:微創半膝人工關節置換術
當膝關節發生退化時,多數人首先想到的是「全膝人工關節置換(TKA)」。但根據統計,許多患者的磨損僅侷限於單側(多為內側)。
什麼是 UKA 半膝人工關節置換術?
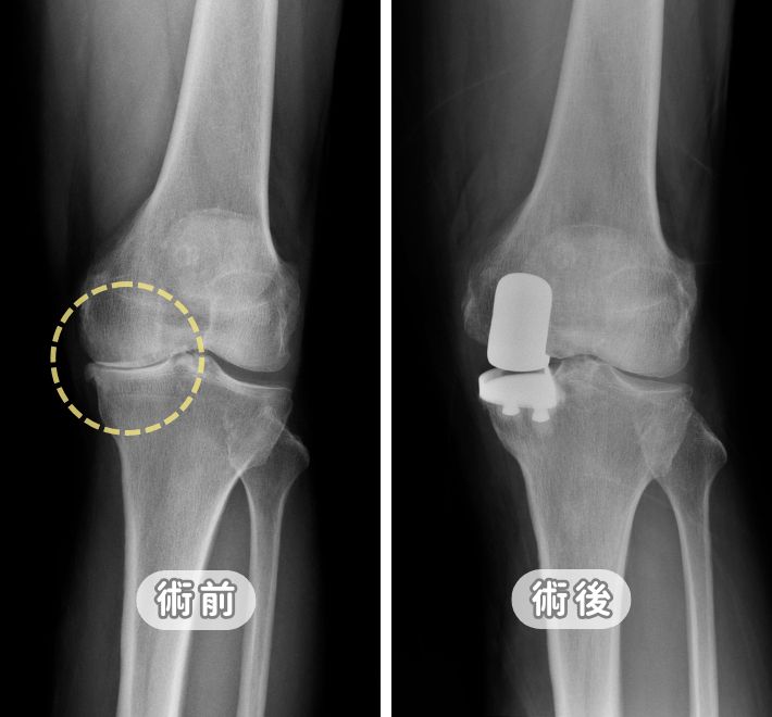
如果把膝蓋比喻成一張「三人座沙發」,當只有其中一個位置塌陷時,我們不需要整張丟棄,只需要針對該區塊進行翻修。UKA 就是這種「局部修復」的概念:醫師僅移除受損的關節表面,並安裝微型精密金屬墊片,保留您原生的骨頭、軟骨以及至關重要的前後十字韌帶。
為什麼選擇微創半膝人工關節置換術(UKA)
張建鈞醫師團隊採用新式手術方式,與傳統全膝置換相比,具備以下優勢:
-
高度保留自然組織:微創半膝人工關節置換術 UKA 能保留更多的原生骨量與前後十字韌帶。臨床研究顯示,這種保膝術式能維持膝蓋原有的本體感覺,使術後步態與活動感更趨近於天生的膝蓋。
-
術後恢復極速: 因為手術切口小(通常僅 6-8 公分)、組織破壞少,多數患者在術後 1-2天即可下床行走,2-4 週內即可重返日常生活。
-
安全性高: 對於高齡或患有慢性病、不適合長時間手術的個案,UKA 的手術時間短、失血量極少,能有效降低手術風險。
誰適合半膝人工關節置換術(UKA)?關鍵評估指標
並非所有人都需要換全膝。張建鈞醫師指出,若您符合以下條件,應優先考慮 UKA:
| 評估項目 | 理想條件 | 臨床意義 |
| 磨損範圍 | 局部區域(如單純內側痛) | 確保其餘關節面仍健康,無需大範圍置換 |
| 關節穩定度 | 韌帶功能良好、無嚴重變形 | 保留原生韌帶可維持膝蓋穩定與活動感 |
| 骨質條件 | 骨質密度良好、無嚴重骨鬆 | 確保人工組件能與自體骨緊密結合 |
| 病患族群 | 想快速回歸生活的青壯年或高齡者 | 滿足不同年齡層對於「低破壞」的需求 |
UKA 手術 vs. 其他治療方案
在保膝治療的範疇中,常見的選擇除了 UKA,還有針對力線校正的「高位脛骨截骨手術 (HTO)」,這兩者有什麼差別?
原理差異:
-
半膝人工關節置換(UKA):移除病變軟骨與骨端,用人工關節置換,但仍保留部分原生關節。
-
高位脛骨截骨(HTO):通過變更力線結構,保留完整關節,強調力學負載分配。
優勢比較:
-
半膝人工關節置換(UKA):恢復更快、疼痛更低、適應症明確時療效優良。
-
高位脛骨截骨(HTO):避免植入人工材料、保留自體結構、生理感較强、成本較低。
綜上所述,臨床上張醫師仍會依據病人年齡、活動需求、退化型態與骨骼條件,從這兩者中選擇最適合患者的治療方案。
保膝手術方案對照表
| 治療特性 | 半膝人工關節置換術 (UKA) | 高位脛骨截骨術 (HTO) |
| 核心原理 | 局部置換磨損表面 | 調整骨頭角度,轉移重心壓力 |
| 疼痛消除 | 術後疼痛感消除快 | 需等待骨骼癒合後症狀減輕 |
| 負重時間 | 術後當天或隔天可嘗試行走 | 需 6-8 週待骨骼癒合方可全負重 |
| 適合對象 | 關節面已顯著磨損的中高齡患者 退化性關節炎 |
早中期磨損、內側退化較明顯、其他部位尚好、想進行高強度運動者 |
張建鈞醫師觀點:
高位脛骨截骨術(HTO)適合想保留 100% 自體骨的患者,但恢復期較長;而半膝人工關節置換術(UKA) 則是現代精準醫療的主流,因其復原速度快、滿意度高,成為多數局部退化個案的首選。
半膝人工關節置換臨床成功案例分享
64歲患者的重生案例
一位64歲個案長期受右膝內側疼痛折磨,連走路、爬樓梯都感到困難。經微創關節中心張建鈞醫師詳細評估,其韌帶結構穩定且磨損侷限於內側。

-
治療方案: 接受新式微創 UKA 手術。
-
術後表現: 傷口小且出血極少,術後第一天即開始物理治療,兩週後已能自如地穿梭於公園。
精準技術:術前規劃與術中機器人輔助
為了確保術後的長期耐用性,目前手術搭配機器人輔助系統。透過精密導航,醫師能以公釐(mm)級的精準度安裝組件,大幅延長人工關節的使用壽命。
半膝人工關節置換術後照護與常見問題 FAQ
Q:半膝人工關節置換術後多久可以恢復正常生活?
多數患者在術後 2-4 週可恢復一般行走與輕度家事。若使用微創技術與積極復健,6-8 週常能重返接近正常的膝關節功能。
Q:半膝人工關節可以使用多久?
隨著材質進步與精準置入技術,現代 UKA 的 10 年存活率已相當優異。建議術後避免過度負重、維持健康體重並定期回診追蹤,以延長使用年限。
Q:半膝人工關節置換術後需要特別復健嗎?
早期物理治療非常重要。醫師與復健團隊會引導進行肌力訓練與關節屈伸運動,預防肌肉萎縮並確保步態順暢。
本文僅供衛教參考,具體醫療建議請務必諮詢專業醫師。
參考文獻
1. Knee Surg Relat Res. 2018 Mar 1;30(1):28–33. doi: 10.5792/ksrr.17.025
2.LONG TERM RESULTS OF PARTIAL KNEE ARTHROPLASTY. Bone Joint J
2015;(10 Suppl A):9–15.
3.Unicompartmental knee replacement: controversies and technical considerations. Arthroplasty. 2024 May 2;6:21. doi: 10.1186/s42836-024-00242-6