Healthcare Information
Information
Scoliosis: Comprehensive Guide — Types, Screening & Minimally Invasive Correction
In-Depth Analysis of Scoliosis: Definition, Types, Detection Methods, and Treatment Options, Including the Latest Technologies in 3D Computer Navigation and OLIF Minimally Invasive Surgery, to Help You Quickly Understand Your Condition and the Optimal Treatment Timing.
Learn more
6 Key Things to Know Before Modern Minimally Invasive Spine Surgery
Are You Struggling with Herniated Discs, Spinal Stenosis, or Bone Spurs?
Are spinal conditions such as herniated discs, scoliosis, or bone spurs affecting your daily life, yet you remain unsure whether surgery is the right choice? In this special feature, we invite Dr. Chien-Chun Chang, a leading expert from the Minimally Invasive Spine and Joint Center, to introduce minimally invasive spine surgery (MISS). As a cutting-edge advancement in modern medicine, MISS offers a less invasive approach to treating complex spinal disorders. If you are considering minimally invasive spine surgery and want to learn about the six essential preoperative considerations, this article is a must-read.

The Complete Guide to Spine Revision Surgery: When a "Second Surgery" Becomes Necessary, How to Control the Risks?
What should you do if pain recurs or screws become loose after spine surgery? Dr. Chien-Chun Chang provides an in-depth analysis of "Spine Revision Surgery." Utilizing O-arm 3D navigation to precisely avoid nerve adhesions and scar tissue, combined with the OLIF (Oblique Lumbar Interbody Fusion) minimally invasive lateral approach, significantly reduces bleeding and risks. This guide includes an analysis of revision causes, postoperative recovery, and FAQs to help you regain quality of life with safety assurance.
Learn more
The Complete Guide to Minimally Invasive Hip Replacement Surgery: Smaller Incision, Rehab-Free Recovery, Regain Your Stride
Hip joint pain making walking difficult and squatting impossible? Dr. Chien-Chun Chang explains "Minimally Invasive Total Hip Arthroplasty." This guide details how the Direct Anterior Approach (DAA) and innovative Anterior-Lateral Muscle-Sparing techniques achieve muscle preservation, allowing patients to walk on the same day after surgery. It includes a comparison of artificial joint materials, recommended out-of-pocket cost estimates, and a postoperative recovery guide to help you make a precise evaluation and regain your mobility.
Learn more
The Complete Guide to Minimally Invasive Knee Replacement Surgery: Precision Medicine with ROSA Knee Robotic-Arm Navigation - A New Treatment for Degenerative Knee Arthritis
Does knee pain always require a total knee replacement? Discover ROSA Knee 3D Robotic-Arm Navigation technology, which reduces surgical error to 0.005 cm, precisely balancing ligaments and preserving muscle tissue. This guide includes a budget for minimally invasive surgery, a comparison table of ROSA versus traditional surgery, and a 24-hour rapid recovery protocol to help you regain mobility and extend the lifespan of your artificial joint.
Learn more
The Complete Guide to Scoliosis Surgery: From the Golden Window of Treatment to Minimally Invasive Techniques — A Surgeon’s Explanation of Key Factors for Safe Correction
Is surgery always necessary for scoliosis? Dr. Chien‑Chun Chang provides an in‑depth analysis of surgical indications for adolescents and adults. With the introduction of the O‑arm 3D navigation system, surgical error is reduced to under 0.1 cm, significantly enhancing safety. This article details minimally invasive procedures, implant costs, recovery timelines, and frequently asked questions about postoperative exercise — helping you reclaim an upright, confident life through precision medicine.
Learn more
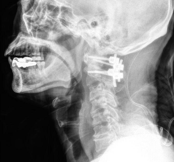
The Complete Guide to Minimally Invasive Cervical Spine Surgery: How "Navigated Minimally Invasive" Techniques Precisely Relieve Nerve Compression and Speed Recovery
Numb hands, weakness, unsteady gait—when cervical nerves are compressed, your quality of life suffers. Do you feel anxious upon hearing that cervical spine surgery might be needed, fearing the large incision, long rehabilitation, and complications of traditional surgery?
Today, cervical spine surgery has entered the era of "precision minimally invasive" techniques. The Dr. Chien-Chun Chang Minimally Invasive Spine & Joint Team, with the assistance of "3D computer navigation" and "high-end endoscopy", can select the least traumatic approach based on your specific type and location of compression to achieve the goal of effective decompression and rapid recovery.

The Technological Revolution in Modern Minimally Invasive Spine Surgery: How 3D Computer Navigation Achieves "Smaller Incision, Less Pain, Faster Recovery"
Facing conditions like herniated discs, spondylolisthesis, spinal stenosis, or revision surgery? Modern minimally invasive spine surgery combines 3D computer navigation (O-arm) and minimally invasive techniques, acting like a surgical GPS for real-time nerve and screw positioning. This reduces bleeding and muscle damage, offering a safer and faster-recovery surgical option even for elderly patients and those with diabetes or hypertension.
Learn more
The Ultimate Guide to Spinal Endoscopic Surgery: Evolution, Applications, and Herniated Disc Treatment
Spinal endoscopic surgery is a rapidly evolving minimally invasive technique that has advanced significantly over the past decade. Through a tiny 0.8–1 cm incision and a high-resolution endoscope (providing magnified visuals), it precisely relieves nerve compression. It is commonly used for conditions like herniated discs, spinal stenosis, and bone spur compression. Most patients can walk on the same day or the next, with hospital stays typically shorter than 2 days. This article provides a comprehensive overview of the technique's evolution, the differences between single and dual-portal approaches, indications, costs, and key considerations.
Learn more
85-Year-Old Woman Avoids Rehabilitation! Safe and Precise Minimally Invasive Knee Replacement with Robotic Arm Four Key Facts to Know Before Undergoing Total Knee Replacement Surgery
Degenerative arthritis is a common issue among middle-aged and elderly individuals. In severe cases, it can impair mobility and significantly reduce quality of life. Dr. Chien-Chun Chang, Director of the Minimally Invasive Joint Center, shares the case of an 85-year-old female patient who suffered from severe degenerative knee arthritis, experiencing long-term pain that made normal walking impossible.
Learn more
【Computer-assisted minimally invasive spine surgery】
Having navigation when you’re driving and also receiving a spine surgery!
Learn more
【Total knee arthroplasty with Rosa® Knee System.】
What is robotic-assisted arthroplasty?
Learn more